Metal Braces in Dubai – Reliable, Effective & Orthodontist-Supervised

Achieve a perfectly aligned smile with traditional metal braces — the time-tested orthodontic solution for precise and lasting results.
At IB Clinic, our orthodontic specialists use advanced low-profile brackets and modern archwires to move your teeth efficiently, comfortably, and predictably.

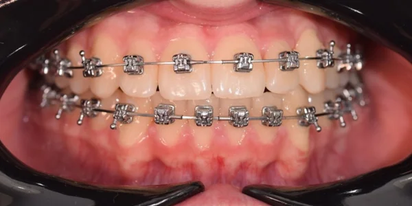
Close-up of metal braces fitted by Dr Nikhil Sharma, orthodontic specialist at Invisible Braces Dental & Skin Polyclinic Dubai

Why Choose Metal Braces

Close-up of metal braces on teeth fitted by Dr Nikhil Sharma, orthodontist in Dubai, showing precise bracket alignment and clean archwire placement.

Proven & Precise Tooth Movement

Metal braces have been the gold standard in orthodontics for decades — offering unmatched control for even the most complex cases.

Affordable & Effective for All Ages

A cost-efficient solution suitable for children, teens, and adults seeking dependable results.

Strong & Durable Design

Made from medical-grade stainless steel, our modern brackets are smaller, smoother, and more comfortable than ever before.

Fast & Predictable Results

Continuous gentle pressure moves your teeth into their ideal positions with high accuracy under orthodontic supervision.

Customizable Options

Add colored elastics for a fun, personalized look — popular among kids and teens.

How Metal Braces Work

Initial Consultation & 3D Assessment

Your orthodontist evaluates your bite, crowding, and alignment using digital scans and X-rays.

Bracket Placement

Small metal brackets are bonded to each tooth surface with dental adhesive.

Archwire Connection

A thin wire connects the brackets and gently guides tooth movement over time.

Regular Adjustments

Every 4–6 weeks, your orthodontist tightens or replaces wires to ensure steady progress

Monitoring & Finishing Phase

Once alignment is achieved, finishing touches refine your bite and ensure long-term stability

Retention Phase

A custom retainer helps maintain your new smile after braces are removed.

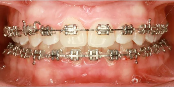
Orthodontist Dr. Nikhil Sharma adjusting metal braces for precise tooth alignment at IB Clinic Dubai.

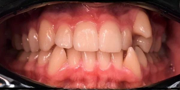
Before & After Gallery

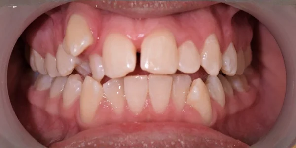
When Are Metal Braces Recommended?

Moderate to severe crowding
Gaps or spacing between teeth
Overbite, underbite, or crossbite
Rotated or misaligned teeth
Relapse after previous orthodontic treatment

🚫 Not suitable for those who cannot commit to regular tightening visits or have poor oral hygiene.

Metal Braces vs. Ceramic Braces

Feature Metal Braces Ceramic Braces
Material Stainless steel Tooth-colored ceramic
Visibility Noticeable More discreet
Durability Highly durable Slightly more fragile
Strength Stronger Can chip off sometimes
Treatment Speed Slightly faster Comparable
Best For Teens & adults seeking reliable results Patients prioritizing aesthetics

Why Choose IB Clinic for Metal Braces in Dubai

Certified orthodontists with years of experience
Expert orthodontist with 10+ years of experience

3D digital scans for accurate diagnosis & customized planning

Dr. Nikhil Sharma performing a 3D digital teeth scan for orthodontic progress tracking at Invisible Braces Dental & Skin Clinic, Dubai.

Periodic Chairside Adjustments for Predictability

Dr. Nikhil Sharma performing a routine metal braces adjustment to ensure accurate tooth movement and controlled alignment.
Patient-focused comfort philosophy approach
Patient smiling confidently during orthodontic treatment with metal braces under Dr. Nikhil Sharma’s supervision at IB Clinic Dubai.

Frequently Asked Questions

How long will I need to wear metal braces?

You might experience mild discomfort for a few days after each adjustment — a normal sign of movement.

Are metal braces painful?

You might experience mild discomfort for a few days after each adjustment which is a normal sign of movement.

Can adults get metal braces?

Absolutely. Modern metal braces are suitable for both teens and adults, with discreet designs and faster results.

Do metal braces cause mouth irritation?

Today’s low-profile brackets are smoother and smaller, reducing friction and irritation. Wax can be applied if needed.

How often will I need check-ups?

Typically every 4–6 weeks to monitor progress and adjust the wires.

Will my teeth stay straight forever after braces?

Yes — as long as you wear your retainers as prescribed by your orthodontist.

Cost of Invisalign treatment in Dubai<br />
WhatsApp
Call Now Button