Invisalign in Dubai – The Clear Path to a Confident Smile

Straighten your teeth discreetly and comfortably with Invisalign — the world’s leading clear aligner system trusted by millions of patients worldwide.
At IB Clinic, Invisalign treatments are planned and supervised by an Invisalign-certified orthodontist, ensuring precision, comfort, and predictability at every stage.

Comfortable, Clear Aligners

Comfortable, Clear Aligners

Smile Makeover Results

Virtually Invisible

Invisalign aligners are clear and discreet—so you can straighten your teeth confidently without anyone even noticing.

Comfortable & Removable

Invisalign aligners are smooth, gentle on gums, and easily removable—making eating, brushing, and living your life more comfortable than ever.

Predictable Results

Invisalign uses advanced 3D imaging to map out your smile journey from start to finish—so you know exactly what to expect with every step.

Fewer Visits

Invisalign aligners require fewer in-clinic visits compared to traditional braces. With no wires or brackets to adjust, your treatment is smooth, efficient, and hassle-free—perfect for busy lifestyles.

Why Choose Invisalign?

Invisalign aligners combine advanced digital technology with orthodontic expertise — giving you control, comfort, and confidence throughout your smile journey.

Close-up image of Invisalign clear aligners placed inside a protective case, representing the convenience, hygiene, and advanced design offered at Invisible Braces Dental & Skin Clinic Dubai under Dr. Nikhil Sharma.

Completely Invisible

Made from transparent, medical-grade SmartTrack® material, Invisalign aligners are virtually invisible — so you can smile, talk, and socialize confidently.

Removable & Convenient

Eat your favorite foods, brush normally, and attend events without restrictions. Simply remove the aligners when needed and wear them again afterward.

Predictable Results

Every treatment is digitally simulated before starting. You’ll preview your smile transformation using 3D ClinCheck® software — no surprises, just results.

Gentle Yet Effective Tooth Movement

Invisalign aligners use controlled, consistent forces for precise movement — ensuring faster, more comfortable alignment compared to traditional braces.

Perfect for Teens & Adults

Whether you’re a student, professional, or bride-to-be, Invisalign fits seamlessly into your lifestyle.

How Invisalign Works

Your Invisalign journey is 100% customized — guided by your orthodontist and powered by AI-driven digital precision.

Digital Scan & Smile Simulation

We begin with a 3D iTero® scan — no messy impressions. You’ll instantly preview your future smile on-screen.

Digital Treatment Planning

Each tooth movement is planned in sequence using Invisalign ClinCheck software to ensure accuracy and efficiency.

Custom Aligner Fabrication

Your aligners are 3D-printed and shipped from Invisalign’s global lab. Each set is worn for 10–14 days.

Progress Tracking

You’ll visit periodically for reviews and aligner delivery. We also monitor your progress digitally if needed.

Retainers & Smile Maintenance

Once your smile is perfected, clear Vivera® retainers keep your results locked in for life.

Smiling woman holding a clear Invisalign aligner in front of her teeth, demonstrating the comfort and transparency of aligners offered at Invisible Braces Dental & Skin Clinic Dubai under Dr. Nikhil Sharma. The face is shown but not identified.

Why Choose Our Clinic for Invisalign in Dubai

Close-up image of a person placing an Invisalign clear aligner onto their upper teeth, demonstrating the comfort and transparency of aligners used at Invisible Braces Dental & Skin Clinic Dubai under the care of Dr. Nikhil Sharma.

Certified Invisalign Provider — treatments led by a specialist orthodontist trained in digital aligner systems

On-site iTero 3D scanning for instant simulations

Comprehensive orthodontic evaluation before starting any case

Detailed progress tracking through aligner-specific software

In-house lab coordination for attachments, refinements, and retainers

Patient-centric approach with clear communication and support throughout your journey

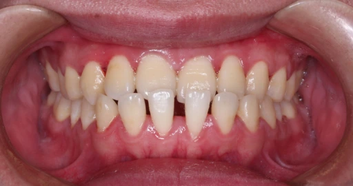
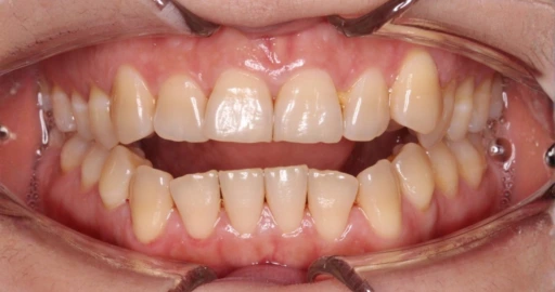
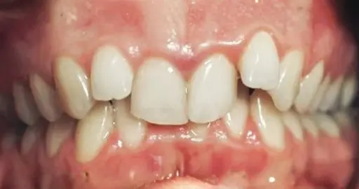
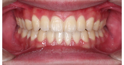
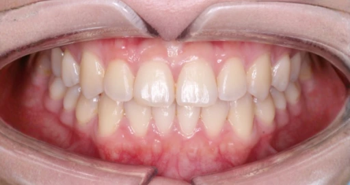
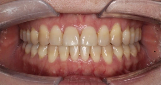
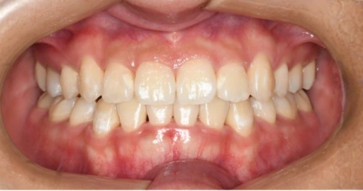
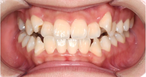
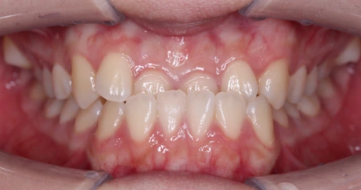
Before & After Gallery

Invisalign Dubai – Results after X months treatment

Invisalign vs. Traditional Braces

Feature Invisalign Metal / Ceramic Braces
Visibility Virtually invisible Visible
Comfort Smooth, no wires May cause irritation
Oral Hygiene Removable for cleaning Requires special care
Food Restrictions None Many foods avoided
Appointments Fewer visits Monthly adjustments
Predictability 3D digital preview Manual estimation

Is Clear Aligners Right for You?

Want a discreet alternative to braces

Invisalign effectively corrects:

  • Crowding and spacing
  • Crossbite, overbite, underbite
  • Protruding teeth
  • Mild to moderate rotations
  • Relapse after previous orthodontic treatment
Want a discreet alternative to braces

Ceramic braces blend with your natural teeth, making them much harder to spot in photos or face-to-face conversations.

Prefer removable, comfortable treatment

Ceramic brackets require consistent cleaning to prevent discoloration. If you’re ready to brush and floss regularly, you’re set.

Desire precise, digitally controlled results

Ceramic braces can be more expensive than metal ones, but many patients find the visual benefits worth the investment.

Treatment Timeline

Step Description Duration
Consultation & Scan Digital assessment, photos, and simulation 30–45 minutes
Treatment Planning Digital design & case approval 3–5 days
Aligner Fabrication Custom aligners 3D printed & shipped 2–3 weeks
Active Treatment Aligner wear (20–22 hrs/day) 6–18 months
Retention Phase Clear retainers to maintain smile Lifelong nightly wear

Frequently Asked Questions

How long does Invisalign treatment take?

Treatment time varies between 6 to 18 months, depending on case complexity and patient compliance

Is Invisalign painful?

Mild pressure is normal during the first few days of each new aligner set. Most patients describe it as comfortable compared to braces.

How often should I wear my aligners?

Wear them for 20–22 hours a day — remove only while eating, drinking hot beverages, or brushing.

Can I switch from braces to Invisalign?

Yes. Patients often transition mid-treatment after evaluation. We assess if conversion will maintain accuracy and speed.

What happens if I lose an aligner?

Inform your orthodontist immediately. We’ll advise whether to move to the next set or replace the missing one.

 

Are Invisalign results permanent?

 Yes — as long as you wear your retainers as prescribed. Retention is the key to a lifelong smile.

Cost of Invisalign treatment in Dubai<br />
WhatsApp
Call Now Button