Lingual Braces in Dubai – Invisible Orthodontics Behind Your Smile
Get the benefits of braces without anyone knowing you’re wearing them. Ideal for professionals, adults, and image-conscious teens.
Benefits of Lingual Braces
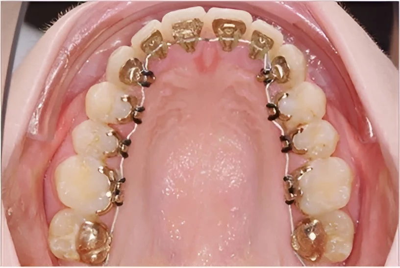
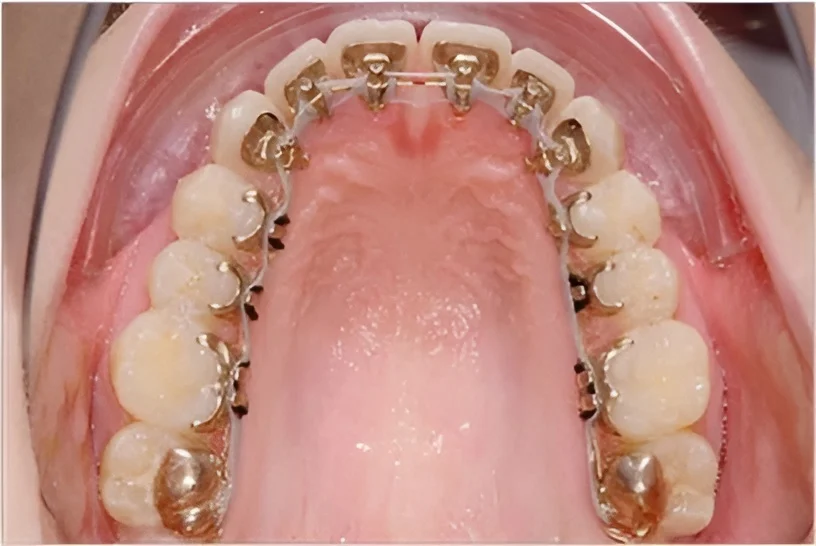
Completely Invisible – Placed behind the teeth
Lingual braces are hidden behind your teeth, making them virtually invisible from the outside. These braces behind teeth offer a perfect solution for anyone who wants to straighten their teeth without affecting their appearance.
Customized for Comfort – Tailored to your bite
Lingual braces are fully customized to fit the shape of your teeth and bite. Each bracket is individually designed to ensure a smooth fit and minimal discomfort.
Perfect for Adults – Professional look, no visible brackets
Many adult patients choose lingual braces because they offer a professional, clean appearance with no visible metal. You can go about your day—at work, on Zoom, or out with friends—without anyone noticing you’re wearing braces.
Effective for Complex Cases – Powerful and precise
Lingual braces are not just cosmetic—they are powerful and capable of correcting complex orthodontic issues, including severe crowding, spacing, rotations, and bite problems. They offer the same level of control as traditional braces with a more aesthetic appeal.
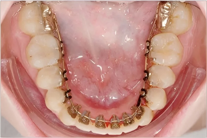
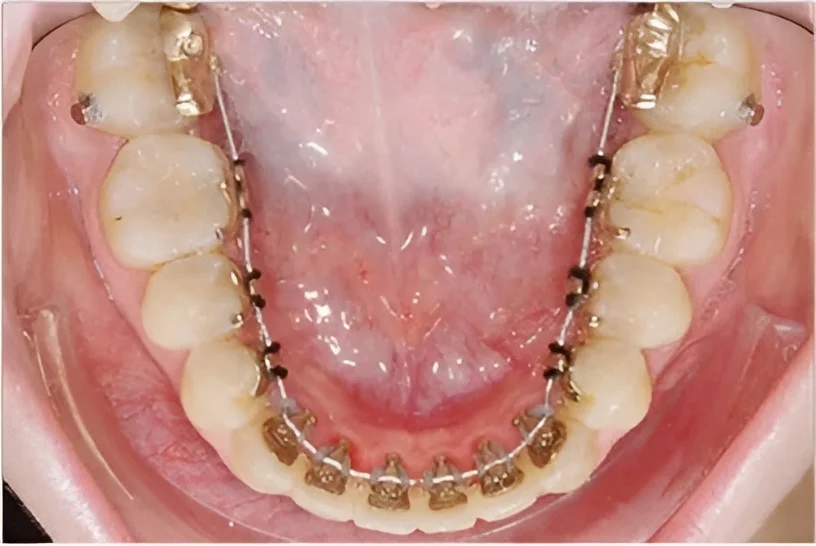
How Lingual Braces Work
3D scan of teeth & bite
We begin with a detailed 3D scan of your teeth and bite to plan your treatment.
Appliance Customization
Using digital impressions, we customize the brackets to perfectly fit the inner surface of your teeth.
Appliance Bonding
Your lingual braces are bonded behind your teeth with precision and care, offering the discreet benefits of hidden braces Dubai patients prefer.
Monthly Adjustments
You’ll visit your orthodontist monthly to make adjustments and track progress.
Smile Reveal
Once your teeth are aligned, we remove the braces and provide retainers to maintain your new smile.
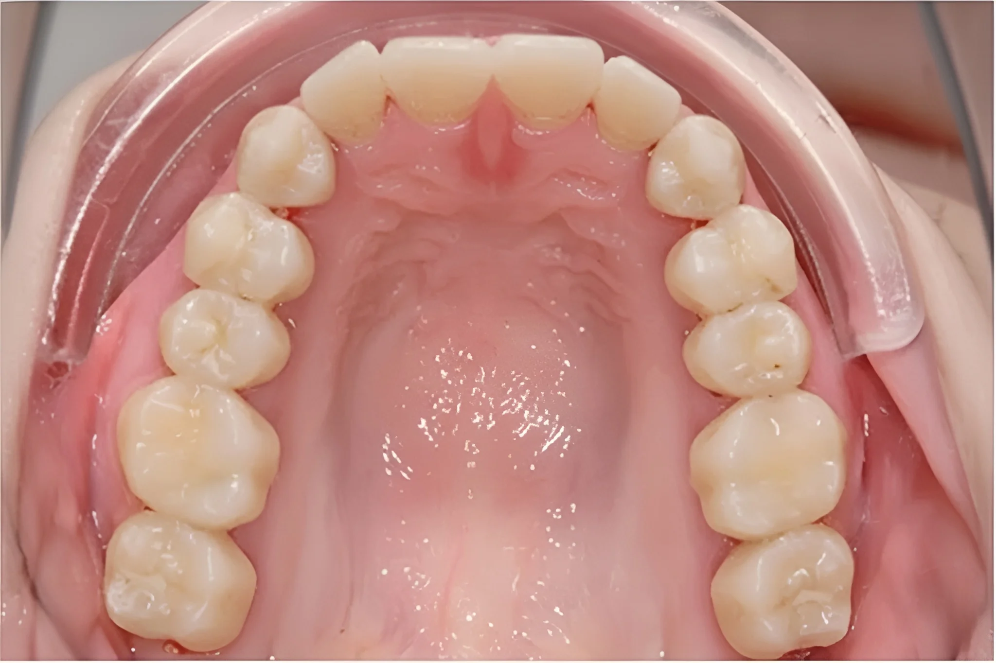
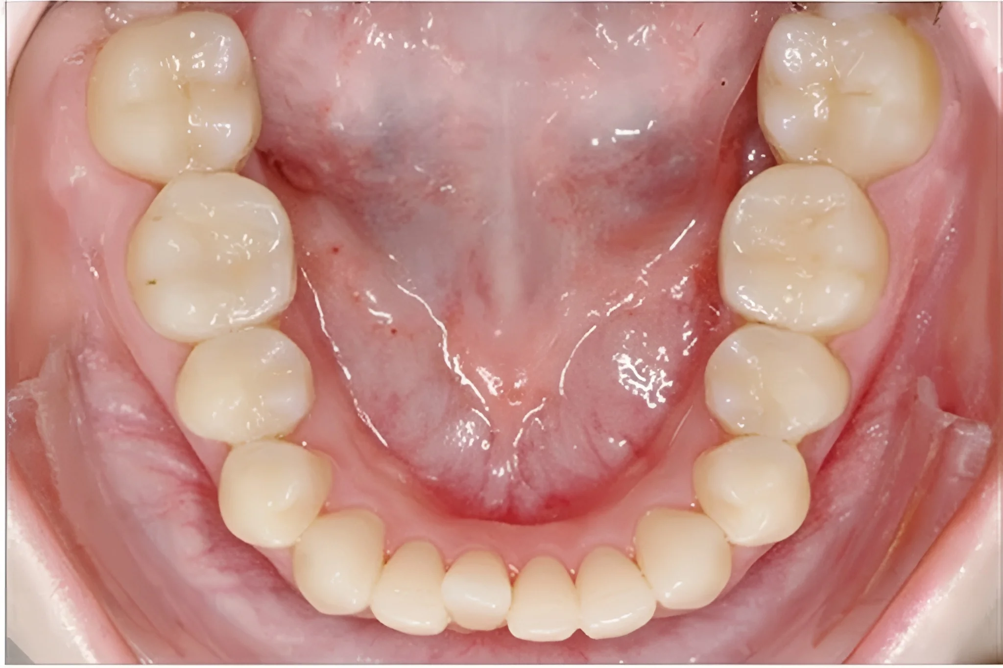
Before & After Gallery




Who’s It For?
Adults wanting invisible braces
Lingual braces are ideal for adults who want a discreet orthodontic solution. Placed behind the teeth, they remain virtually invisible—perfect for professionals or those who simply prefer a private treatment option in the realm of adult orthodontics Dubai residents trust.
Patients in Public-Facing Jobs
Whether you’re in sales, acting, media, or management, lingual braces let you maintain a confident, metal-free smile during presentations, meetings, and public appearances.
Those Not Suitable for Aligners
Some patients are not candidates for clear aligners due to complex bite issues or inconsistent wear. Lingual braces offer the control of traditional braces while remaining hidden.
Teens Worried About Appearance
Teens who are self-conscious about wearing visible braces can benefit from lingual options. It offers the same effective treatment without compromising their appearance during important school years.
Why Choose Us for Lingual Braces?
Dubai’s leading orthodontist for hidden braces
Custom appliance design crafted in-house
Latest digital tools for comfort and speed
Discreet, expert care in a patient-focused clinic
Frequently Asked Questions
Are lingual braces painful?
There may be mild discomfort initially, especially for the tongue, but it reduces as you adapt in 1 – 2 weeks.
Will lingual braces affect my speech?
A slight lisp may occur at first but usually disappears within a few days.
How long does treatment take?
Typically 12–24 months, depending on complexity, similar to traditional braces.
Can lingual braces treat complex cases?
Yes. They are effective for severe crowding, rotations, and bite corrections.
Are lingual braces suitable for teens?
Yes, especially for teens needing a discreet option.



