Ceramic Braces in Dubai – Discreet & Effective Orthodontics

Get straighter teeth with tooth-colored brackets that blend in with your smile — ideal for adults and teens looking for subtle orthodontic options.

Ceramic Braces Dubai

Why Choose Ceramic Braces?

Ceramic braces image

Tooth-Colored Brackets – Blends in with natural teeth

Ceramic braces are designed with brackets that closely match the color of your natural teeth. If you’re looking for a discreet option, Tooth Colored Braces in Dubai offer an ideal balance of aesthetics and effectiveness.

Proven Results – Same effectiveness as metal braces

Don’t compromise on effectiveness. Ceramic braces deliver the same precise tooth movement and orthodontic results as metal braces, making them a reliable choice for achieving your dream smile.

Stain-Resistant Material – Keeps its look throughout treatment

Built from high-quality, stain-resistant ceramic, these braces maintain their appearance over time—no yellowing or discoloration, so your smile always looks fresh and clean.

Ideal for Adults & Teens – Perfect balance of subtlety and strength

With a subtle look and powerful performance, ceramic braces are an excellent option for adults and teens who want discreet treatment without compromising results. If you’re looking for adult braces in Dubai, ceramic options offer both aesthetics and effectiveness.

How Ceramic Braces Work

Consultation & Planning

Your orthodontic journey begins with a detailed consultation, including a 3D digital scan and customized treatment plan. We map out every step of your smile transformation.

Brackets Bonded

Ceramic brackets are carefully bonded to the front of your teeth, followed by placement of the archwire. These tooth-colored components blend in seamlessly.

Monthly Adjustments

You’ll visit our clinic once a month for gentle adjustments. These periodic alignments help guide your teeth into the perfect position over time.

Treatment Completion

Once alignment is complete, we remove the ceramic braces. Your beautiful, straight smile is revealed — ready to shine.

Retainer Follow-up

To maintain your new smile, we fit you with custom retainers. Regular follow-ups ensure long-term results and support.

Ceramic Braces image 3

Before & After Gallery

Is Ceramic Right for You?

Want subtle braces, but not aligners?

If you prefer fixed braces but don’t want noticeable metal brackets, ceramic braces offer a tooth-colored, less visible solution.

Concerned about appearance during treatment?

Ceramic braces blend with your natural teeth, making them much harder to spot in photos or face-to-face conversations.

Committed to regular cleaning to prevent staining?

Ceramic brackets require consistent cleaning to prevent discoloration. If you’re ready to brush and floss regularly, you’re set.

Willing to invest slightly more for aesthetics?

Ceramic braces can be more expensive than metal ones, but many patients find the visual benefits worth the investment.

Why IB Clinic for Ceramic Braces?

Expert orthodontist with 10+ years of experience

Dr. Nikhil Sharma, orthodontist in Dubai, specialist in invisalign, lingual braces, invisible braces, ceramic braces, and advanced orthodontic treatments.

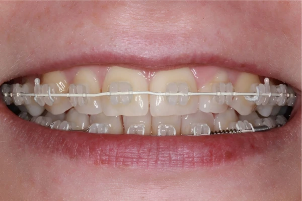
Tooth-colored wires + brackets for aesthetic finish

Close-up of ceramic braces with tooth-colored brackets and wires for an aesthetic orthodontic appearance.

3D scanning and smile preview for high precision

3D digital dental scanning with iTero at IB Clinic Dubai showing real-time smile preview for orthodontic patients for invisalign

Clean, modern environment in a central Dubai location

Modern dental clinic reception area at IB Clinic Dubai, showcasing clean interiors, warm lighting, and comfortable seating.

Frequently Asked Questions

How are ceramic braces different from metal braces?

Ceramic braces work just like traditional metal braces but use tooth-colored or clear brackets, making them far more discreet.
They blend with your natural tooth shade, so they’re ideal for adults and teens who prefer a subtle look.
While metal braces are slightly more durable, ceramic braces provide the same effective results using gentle, controlled tooth movement- without compromising aesthetics.

At IB Clinic, we use high-quality, stain-resistant ceramic brackets for a smooth, comfortable, and aesthetic orthodontic experience.

Are ceramic braces slower than traditional braces?

Not necessarily. Modern ceramic braces use the same mechanics as metal braces and move teeth at nearly the same speed.
In some cases, treatment may take slightly longer if lighter forces are used to maintain comfort and protect the ceramic brackets.

At IB Clinic, we use advanced, low-friction ceramic systems that ensure efficient tooth movement, shorter chair time, and smooth progress – giving you precise results with superior aesthetics.

In short: same effectiveness, greater comfort, and a more natural look.

Do ceramic brackets stain?

High-quality ceramic brackets themselves do not stain, but the elastic ties used with them can discolor over time from foods like coffee, tea, or curry.
At IB Clinic, we use stain-resistant ceramic systems and high-grade ties, and replace the elastics at each visit – keeping your braces clear and bright throughout treatment.

Maintain good oral hygiene and regular cleaning to keep your smile spotless.

Can I eat normally with ceramic braces?

Yes, you can enjoy most foods – just with a little care. Avoid very hard, sticky, or chewy foods that can damage brackets or wires.
Soft foods, fruits, vegetables, rice, and pasta are all perfectly fine.

At IB Clinic, we provide a complete orthodontic food guide and regular follow-up instructions to help you eat comfortably throughout treatment.

With mindful eating and proper care, your ceramic braces will stay strong and beautiful from start to finish.

Can I switch from metal braces to ceramic midway through treatment?

Yes, in most cases you can switch from metal braces to ceramic braces midway through treatment.
Your orthodontist will assess your tooth movement progress and confirm if the brackets can be replaced without disrupting your treatment plan.

Many patients choose this option when they want a more aesthetic look for the remaining treatment period. The process is simple – metal brackets are removed and replaced with ceramic ones during a regular appointment.

Note: Switching may slightly increase cost due to new materials, but it does not usually delay treatment when managed correctly.

Dr. Nikhil Sharma, Orthodontist in Dubai, standing in his operatory at IB Clinic with modern dental equipment and iTero scanner
WhatsApp
Call Now Button