Early Orthodontic Treatment – Guiding Your Child’s Smile the Right Way
Early orthodontic care helps ensure your child’s teeth and jaws develop in harmony — preventing future complications and reducing the need for complex treatment later.
At our practice, we use advanced diagnostic tools to identify alignment, bite, or jaw issues early and guide growth naturally.
Why Choose Early Orthodontic Evaluation?
Early Detection of Jaw or Bite Problems
By age 7, your child’s permanent teeth start erupting — this is the best time to spot crowding, crossbites, open bites, or overbites before they worsen.
Helps Guide Jaw Growth Naturally
With simple orthodontic appliances, we can gently guide jaw development, allowing teeth to align correctly and preventing future extraction or surgery.
Improves Facial Balance & Airway Health
Early intervention can improve facial proportions and even help with breathing issues linked to jaw or bite imbalance.
Builds Confidence Early
Children feel better when their smile looks good — and starting early reduces the need for visible braces later.
Reduces Treatment Time Later
Timely orthodontic planning can make teenage or adult orthodontics easier, faster, and more predictable.
How Early Orthodontics Works
Initial Assessment & 3D Scan
We start with a detailed evaluation, digital X-rays, and 3D scans to assess teeth and jaw development.
Growth Guidance Phase
If needed, a gentle removable or fixed appliance (like an expander or space maintainer) helps direct natural jaw growth.
Observation Phase
Your child’s growth is monitored periodically to ensure permanent teeth erupt into the correct position.
Phase 2 Treatment (if required)
When all permanent teeth erupt, we may recommend limited braces or aligners for finishing — typically faster and easier than full orthodontic treatment.
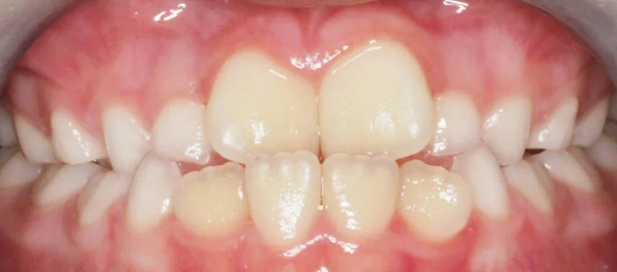
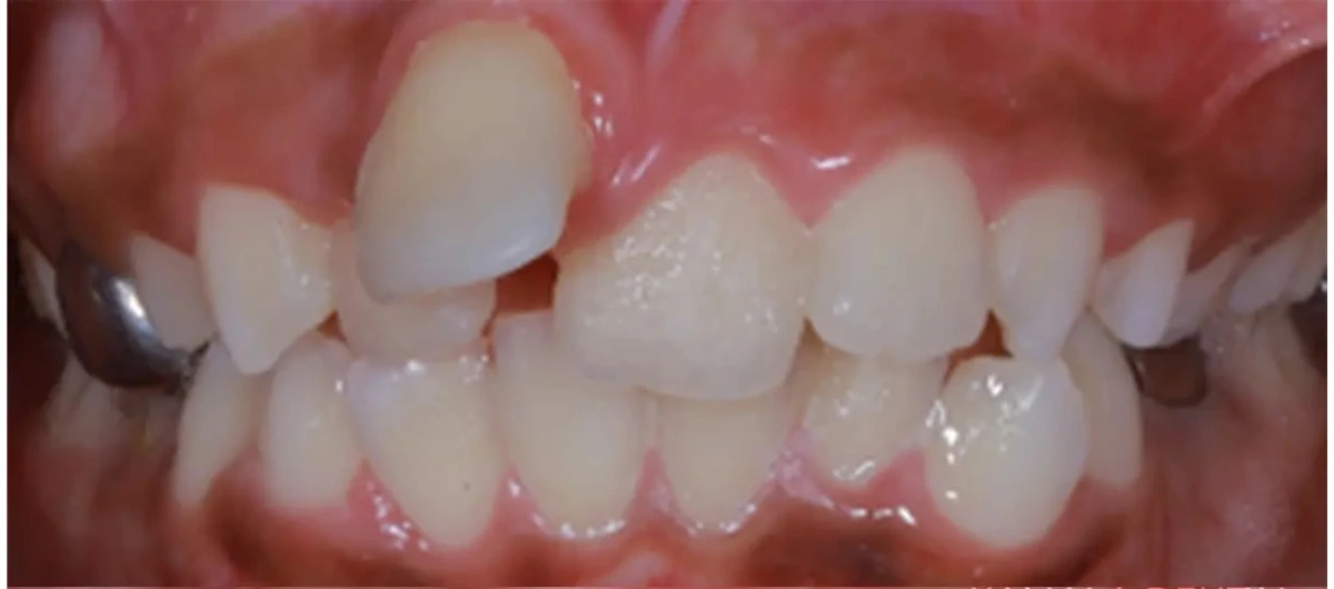
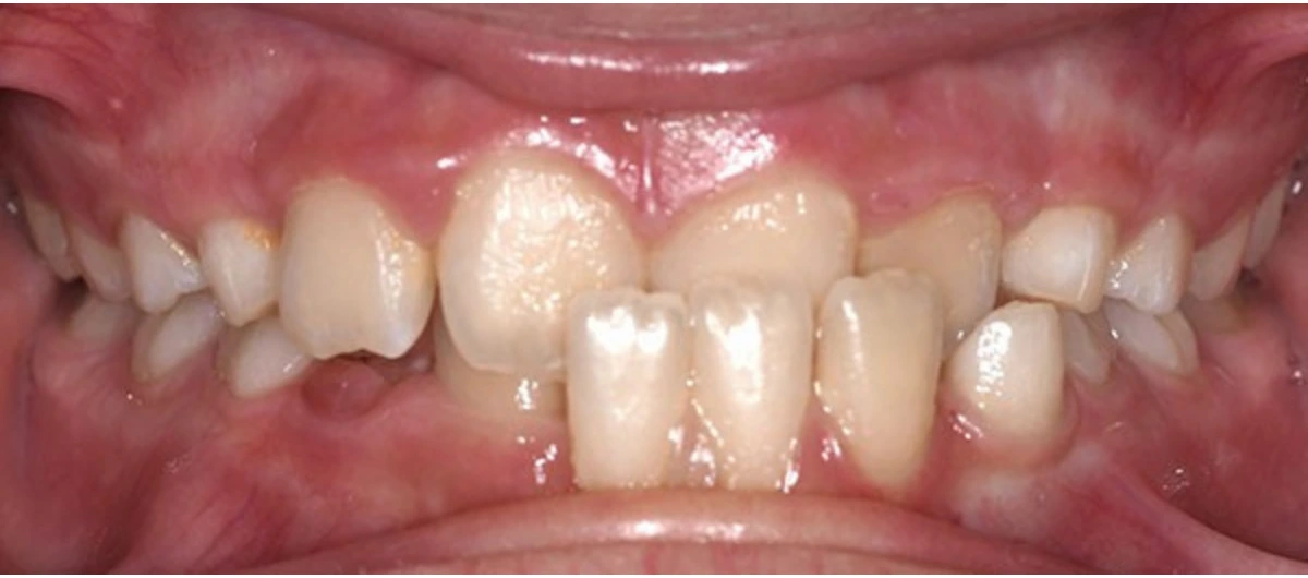
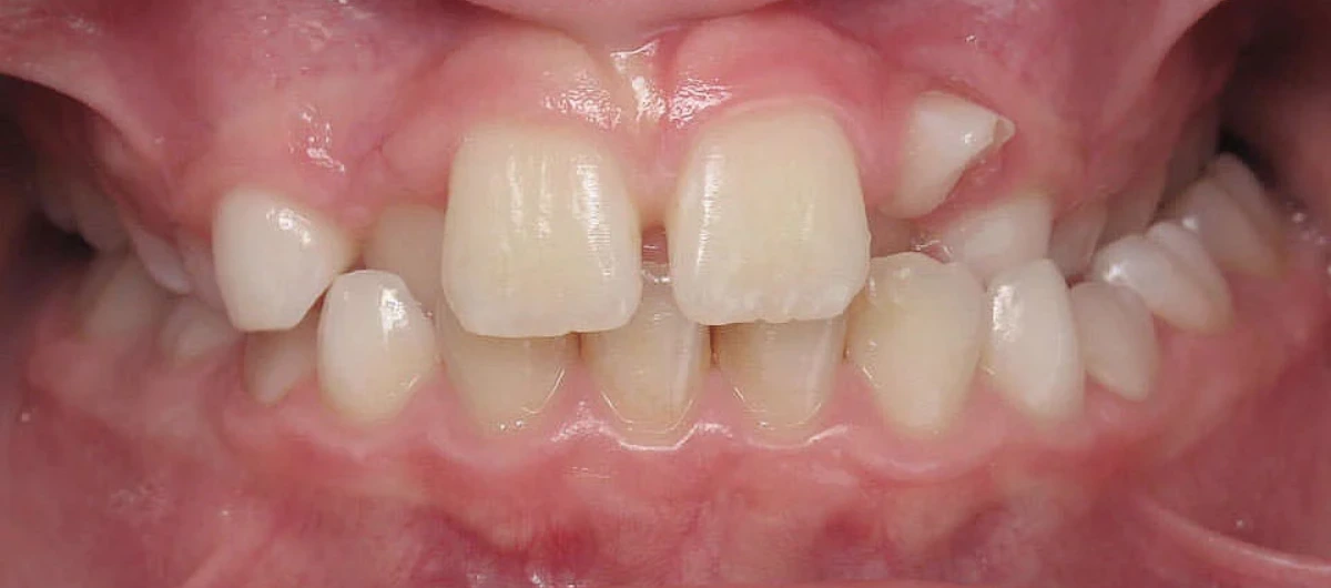
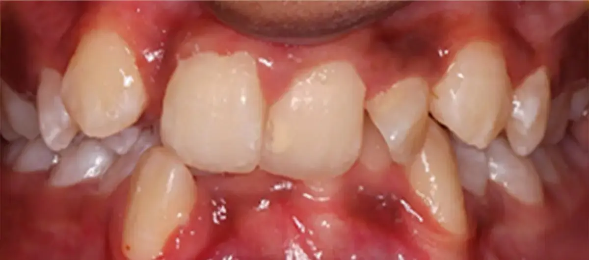
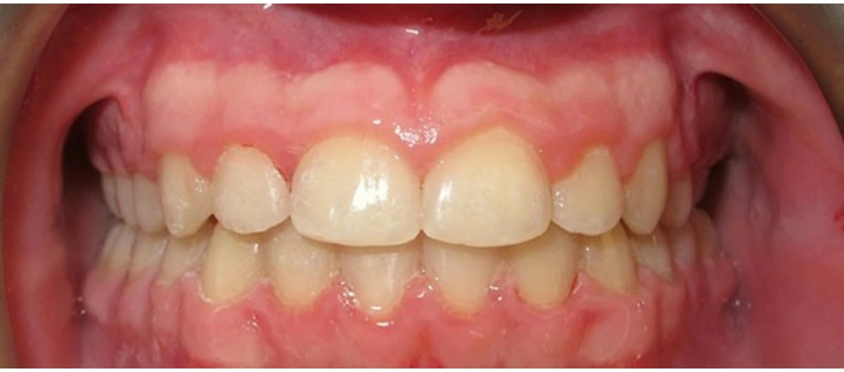
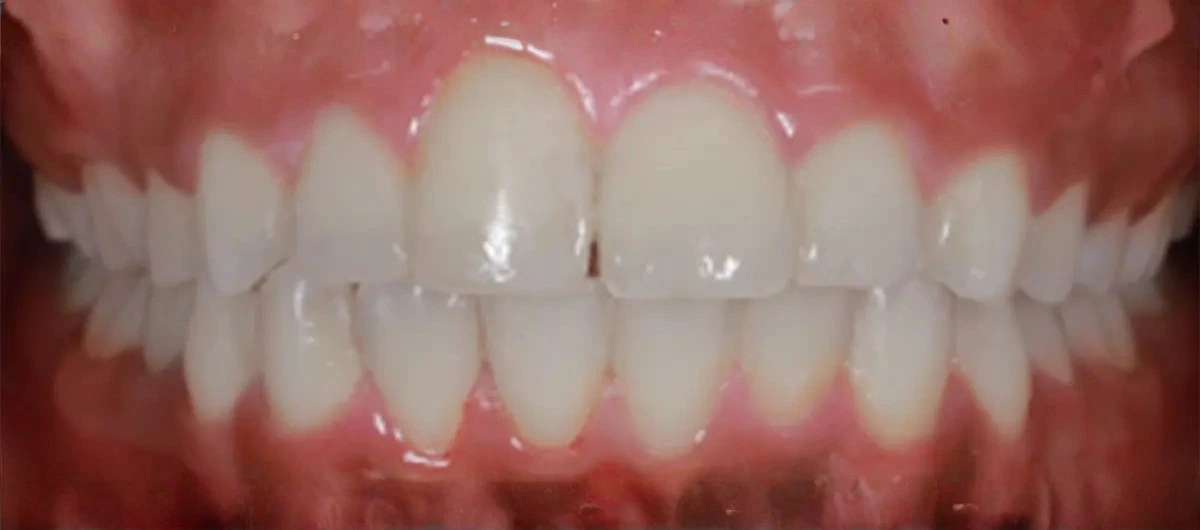
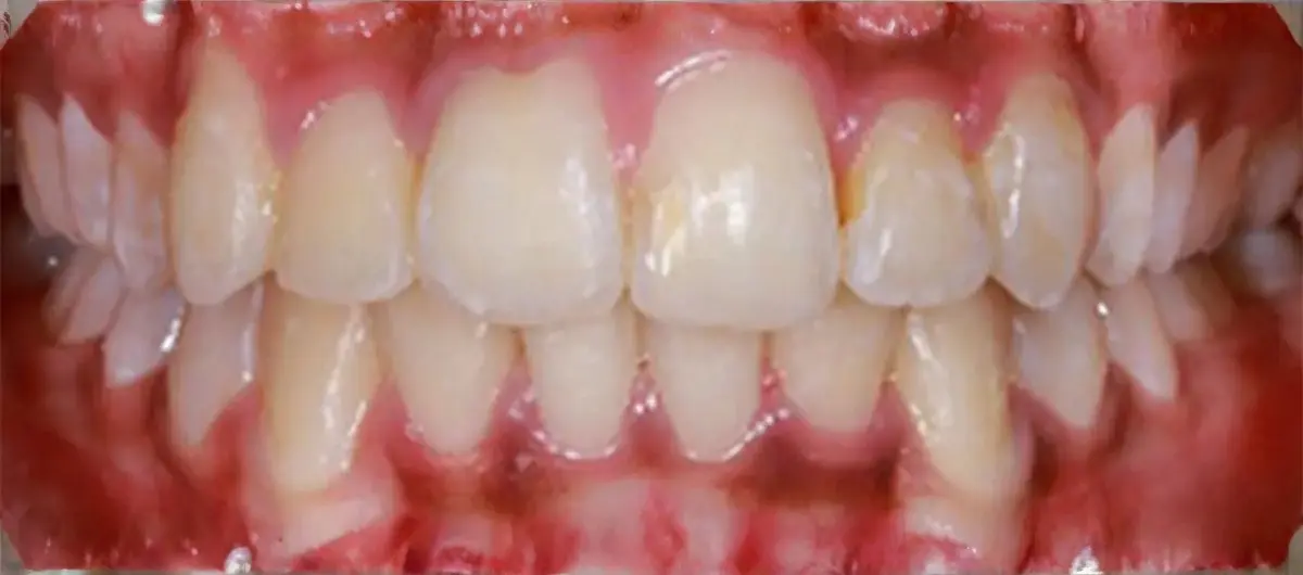
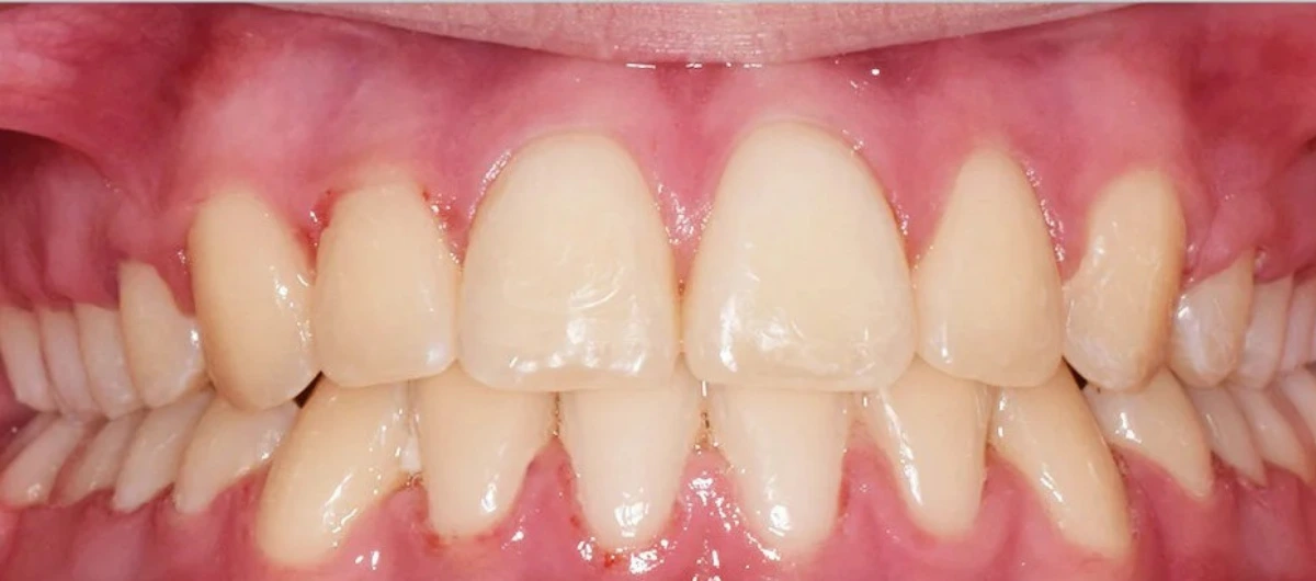
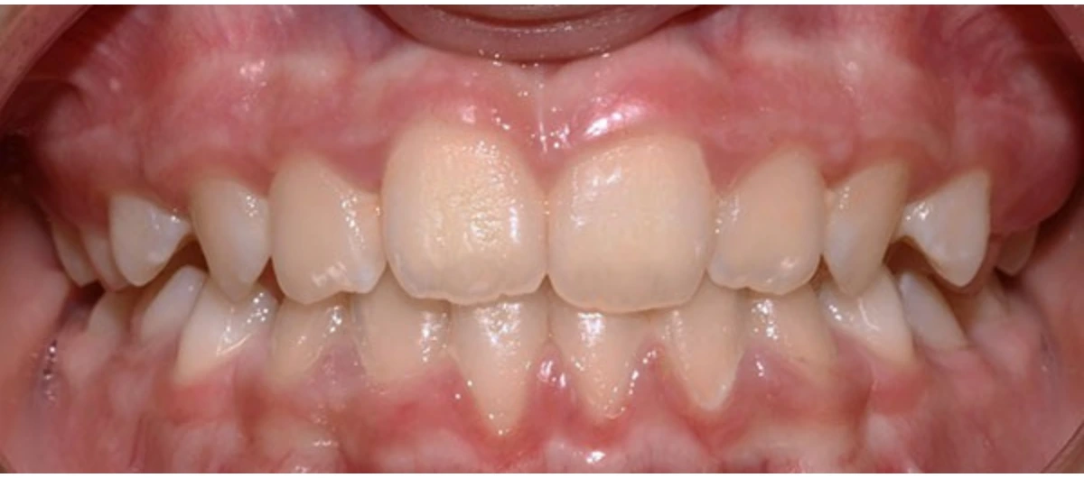
Before & After Gallery






Is Early Orthodontics Right for Your Child?
Crowded or overlapping baby teeth
Early or late loss of baby teeth
Difficulty biting or chewing
Protruding or recessed jaw appearance
When Should My Child See an Orthodontist?
According to the American Association of Orthodontists (AAO), every child should have their first orthodontic check-up by age 7. This allows your orthodontist to:
- Track jaw growth patterns
- Identify crowding or spacing issues
- Monitor erupting permanent teeth
- Detect harmful habits like thumb sucking or mouth breathing
Why Choose Us for Early Orthodontics
Specialist-led orthodontic care
Digital 3D scans - no messy impressions
Fiendly environment & gentle approach
Customized growth guidance appliances
Frequently Asked Questions
What is the best age to start orthodontic treatment?
The ideal age for the first orthodontic visit is around 7 years old. Actual treatment might begin later, depending on how your child’s teeth and jaws develop.
Does every child need early treatment?
Not always, sometimes we only monitor growth. Early treatment is recommended only if it can prevent future complications.
What appliances are used in early orthodontics?
We may use expanders, space maintainers, habit-breaking appliances, or partial braces, depending on your child’s needs.
Is early orthodontic treatment painful?
No. Appliances apply gentle pressure to guide growth; most children adapt quickly.
How long does early orthodontic treatment last?
Typically 6–18 months, depending on the child’s growth response and appliance type.


